Владимир Оконешников
Стоматолог-хирург

За здравый
смысл и комфорт
в лечении

Удаляю самые сложные зубы мудрости и выполняю имплантацию казалось бы в самых безнадежных случаях

Оконешников Владимир Андреевич Стоматолог-хируг

К своей работе отношусь максимально ответственно и считаю ее своим призванием.

Помогаю каждому пациенту и составляю лечение индивидуально в любом случае!

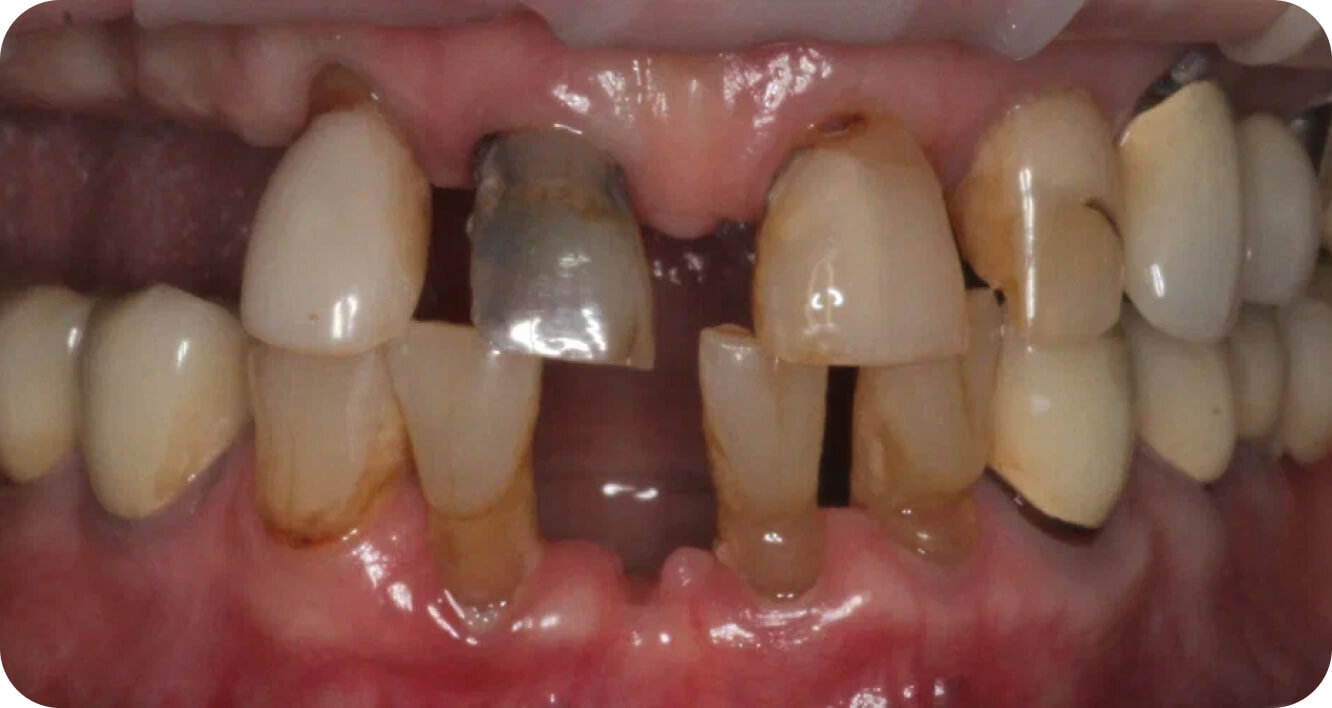
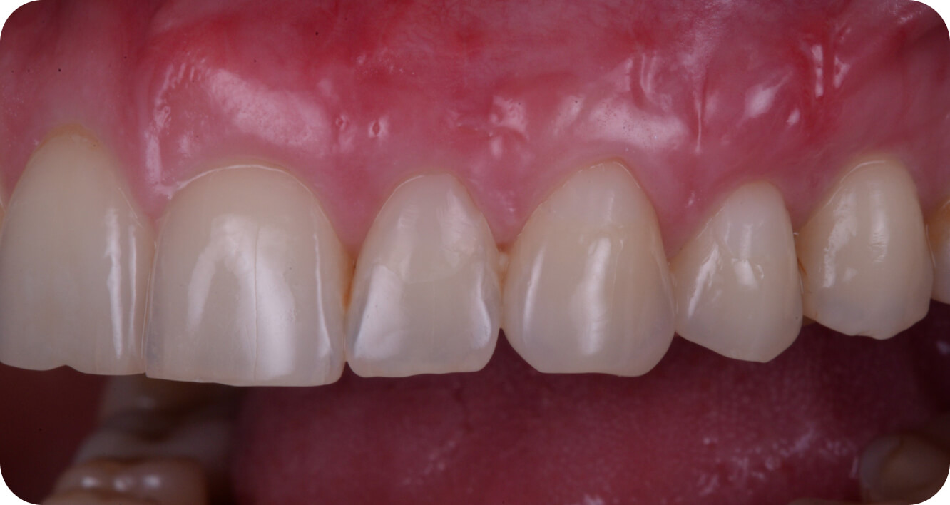
Мои работы
до/после

Большие
работы
Интересные
случаи
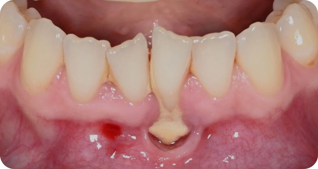
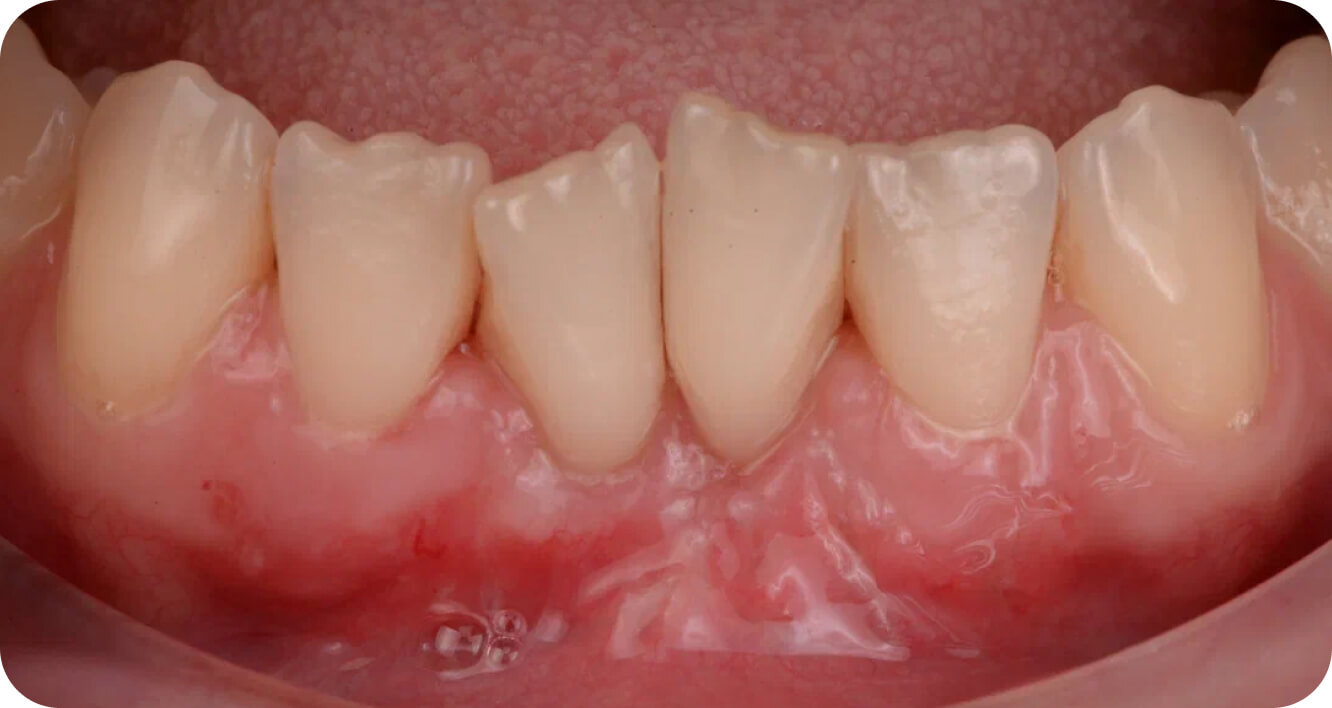
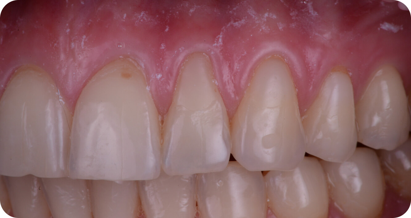
Пластика десны
оголенных корней

Запишитесь на комплексную консультацию по состоянию полости рта

Проведу комплексную диагностику и дам ответы на все интересующие вас вопросы.
3д снимок КТ
Диагностическое фотографирование
Полный анализ всей полостии рта
Рекомендации по каждому зубу
Запись планируется за 3−4 недели вперед!

Очная консультация

Составление логистики визитов
Точный расчет стоимости всех этапов

Это наша встреча с вами у меня в клинике

Стоимость: 10 000 рублей

Определение задач, этапов лечения

Что входит в консультацию:

Проведу анализ проблем исходя из данных рентгена и дам ответы на все интересующие вас вопросы.
Полный анализ всей полостии рта

Онлайн консультация

Рекомендации по каждому зубу

Встреча удаленно по вашему 3D рентгену

Стоимость: 5 000 рублей

Определение задач, этапов лечения

Что входит в консультацию:

Составление логистики визитов
При отсутствии 3d рентгена вы получите направление в диагностический центр для исследования.
По готовности снимка мы проведем онлайн консультацию.
Ее вы можете получить в течение нескольких рабочих дней без ожидания очного приема.
Точный расчет стоимости всех этапов

Хирургия любой сложности и имплантация

01

Удаления зубов любой сложности

Диагностика, рентген, планирование и удаление любого зуба.

Что входит в манипуляцию:

Окончательная стоимость манипуляции утверждается по данным 3д рентгена. Только после консультации.

02

Имплантация

Диагностика, рентген, планирование и установка имплантата с последующим протезированием искусственной коронкой.

Что входит в манипуляцию:

Окончательная стоимость манипуляции утверждается по данным 3д рентгена. Только после консультации.

03
Имплантация в сложных костных условия

Диагностика, рентген, планирование костной пластики и одномоментная установка имплантата с последующим протезированием искусственной коронкой.

Что входит в манипуляцию:

Окончательная стоимость манипуляции утверждается по данным 3д рентгена. Только после консультации.

04

Удаление зуба и одномоментная имплантация

Диагностика, рентген, планирование, удаление зуба любой сложности с одномоментной установкой имплантата с последующим протезированием искусственной коронкой.

Что входит в манипуляцию:

Окончательная стоимость манипуляции утверждается по данным 3д рентгена. Только после консультации.

05

Костная пластика различными методиками

Диагностика, рентген, планирование и проведение костной пластики с дальнейшей установкой имплантата.

Что входит в манипуляцию:

Окончательная стоимость манипуляции утверждается по данным 3д рентгена. Только после консультации.

06

Костная пластика на верхней челюсти, синус лифтинг

Диагностика, рентген, планирование и проведение костной пластики на гайморовой пазухе с одномоментной или отсроченной установкой имплантата.

Что входит в манипуляцию:

Окончательная стоимость манипуляции утверждается по данным 3д рентгена. Только после консультации.

07

Пластика десны при имплантации

Диагностика, планирование методики трансплантации мягких тканей при дефиците десны во время установки имплантата.

Что входит в манипуляцию:

Окончательная стоимость манипуляции утверждается по данным 3д рентгена. Только после консультации.

08

Пластика дефектов десны на уже ранее установленных имплантах

Диагностика, планирование методики трансплантации мягких тканей при дефиците десны на раннее установленных и запротезированных имплантатах у пациента в сторонней клинике.

Что входит в манипуляцию:

Окончательная стоимость манипуляции утверждается по данным 3д рентгена. Только после консультации.

09

Пластика десны для закрытия оголенных корней зубов

Диагностика, планирование методики трансплантации мягких тканей при рецессии десны на зубах для закрытия оголенных корней.

Что входит в манипуляцию:

Окончательная стоимость манипуляции утверждается по данным 3д рентгена. Только после консультации.

10

Комплексные реабилитации челюсти на имплантатах

Диагностика, рентген и планирования этапности и логистики всех этапов при восстановление целостности зубного ряда челюсти на 4, 6 или более имплантатах.

Что входит в манипуляцию:

Окончательная стоимость манипуляции утверждается по данным 3д рентгена. Только после консультации.

Многолетний опыт решения самых сложных проблем

Оконешников Владимир Андреевич

Окончил стоматологический факультет ММА им. Сеченова.

Поступил в интернатуру на кафедру Факультетской Хирургической Стоматологии ПГМУ им. Сеченова.

2010

Продолжение обучения в ординатуре на базе той же кафедры.

Начал вести ежедневный клинический прием в качестве врача имплантолога.

2010 — 2011

Сильнее углубился в специальность
хирурга-стоматолога.

2011 — 2012

Работа в качестве ведущего имплантолога клинического приема, специализирующегося на исключительно сложных случаях.

Ежегодное посещение курсов повышения квалификации, участие в стоматологических конгрессах и прохождение частных «заплечных» стажировок.

Внедрил в практику усложненные техники оперативной пародонтологии.

2012
2015
2017 — по настоящее время

Посмотрите видеоотзывы
моих пациентов

Посмотрите видеоотзывы
моих пациентов

Где другие доктора
не берутся, я помогу!

Хотите узнать больше о стоматологии и увидеть наглядные примеры моей работы? Тогда вам стоит заглянуть на мой канал на YouTube!

2024 © Оконешников Владимир

Подписывайтесь на меня в Вконтакте и Telegram

Связаться со мной в Whatsapp